Full Mouth Rehabilitation & Reconstruction in Ahmedabad
Complete Smile Restoration & Bite Correction in Maninagar
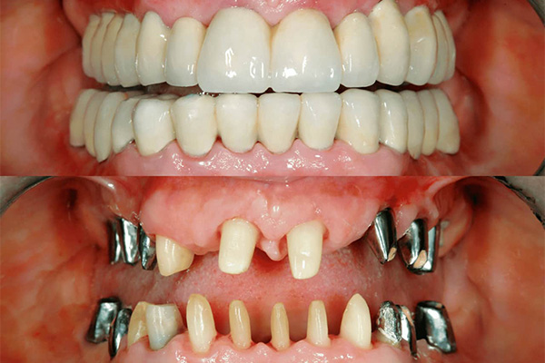
Regain the strength, function, and beauty of your natural smile with professional Full Mouth Rehabilitation in Ahmedabad. We specialize in complex cases involving worn-down teeth, multiple missing teeth, and collapsed bites. As a leading center for Full Mouth Reconstruction in Ahmedabad, our team utilizes advanced Digital Smile Design and neuromuscular dentistry to re-establish your natural bite (occlusion). Whether you require a combination of Full Mouth Dental Implants, Zirconia crowns, or specialized bridges, our Best Prosthodontist in Maninagar Ahmedabad ensures a comprehensive, long-lasting transformation that improves both your appearance and chewing efficiency.
What Is Full Mouth Rehabilitation?
Full Mouth Rehabilitation is a customized treatment plan that rebuilds or restores all teeth in the upper and lower jaws. It combines restorative, cosmetic, and functional dentistry to achieve optimal oral health and aesthetics.
It focuses on restoring:
Proper bite alignment
Chewing efficiency
Jaw comfort
Gum health
Smile aesthetics
Each treatment plan is carefully tailored to the patient’s specific dental condition.
Who Needs Full Mouth Rehabilitation?
You may benefit from full mouth rehabilitation if you have:
Benefits include:
A detailed examination determines the appropriate combination of treatments.
Treatments Included in Full Mouth Rehab
Full mouth rehabilitation may include:
Permanent replacement for missing teeth.
Restoration of damaged or missing teeth.
Saving infected teeth from extraction.
Managing gum disease and bone health.
Improving alignment and bite function.
Enhancing aesthetics and symmetry.
The goal is to restore both function and beauty.
Benefits of Full Mouth Rehabilitation
- Restores Chewing Ability
- Eliminates Chronic Dental Pain
- Improves Bite Alignment
- Enhances Facial Appearance
- Boosts Self-Confidence
Full mouth rehabilitation offers both functional and cosmetic transformation.
Full Mouth Rehabilitation Procedure
Evaluation of bite, bone structure, gum health, and tooth condition.
Treatment may be completed in stages depending on complexity.
Regular check-ups to ensure long-term success.
How Long Does Full Mouth Rehab Take?
The duration depends on complexity:
- Minor cases: A few weeks
- Implant-based cases: Several months (including healing time)
- Complex reconstructions: Multi-stage approach
A detailed treatment plan provides clear timelines.
Cost of Full Mouth Rehabilitation
The cost varies based on:
- Number of Implants or Restorations Required
- Type of Materials Used
- Severity of Dental Condition
- Need for Bone Grafting or Surgical Procedures
Need for bone grafting or surgical procedures
Why Choose Dev Multispeciality Dental Care?
Experienced Multi-Specialty Dental Team
Advanced Digital Diagnostic Technology
Modern Implant Systems
Strict Sterilization Standards
Comprehensive Care Under One Roof
Personalized Treatment Approach
A full mouth reconstruction is a life-changing investment that requires precision, artistry, and advanced clinical skill. At Dev Multi Speciality Dental Care, we are the preferred center for Full Mouth Rehabilitation in Maninagar Ahmedabad because we combine multi-disciplinary expertise under one roof.
Frequently Asked Questions (FAQs)
Full Mouth Rehabilitation in Ahmedabad is a comprehensive treatment process that rebuilds or replaces all of the teeth in a patient’s mouth. It is recommended for individuals with severely worn teeth (due to grinding or tobacco use), multiple missing teeth, or chronic jaw pain. Our Prosthodontist in Maninagar combines restorative and cosmetic dentistry to restore a healthy, functional smile.
The timeline varies depending on the complexity of the case. A Full Mouth Restoration usually involves multiple phases, including healing time if implants are placed. While some cases take a few weeks, complex reconstructions may take several months. At Dev Multi Speciality, we provide a clear, step-by-step roadmap during your initial consultation.
Yes. A "collapsed bite" occurs when teeth are severely worn down, making the face look older and causing jaw joint issues. We use Bite Correction Treatment in Ahmedabad to restore the vertical dimension of your face. This "Anti-Aging" effect not only helps you chew better but also reduces wrinkles around the mouth and rejuvenates your overall facial profile.
The Full Mouth Rehabilitation cost in Ahmedabad depends on the materials used (such as Zirconia vs. Ceramic) and the number of dental implants required. Because this is a highly customized procedure, we offer a detailed breakdown of costs and flexible payment plans at our Maninagar and Ghodasar clinic to make this life-changing treatment accessible.
With proper care and regular maintenance, the results of a Full Mouth Reconstruction are designed to last for many years, often decades. Using high-quality materials like Zirconia crowns and Titanium implants ensures maximum durability. Our team provides a specific aftercare protocol to protect your investment in your new smile.
At Dev Multi Speciality, we prioritize patient comfort. All procedures involved in Full Mouth Rehabilitation in Ahmedabad are performed under local anesthesia or sedation as needed. Our "Painless Dentistry" approach ensures that even the most complex reconstructions are a comfortable experience for our patients in Maninagar.
Schedule Your Full Mouth Rehabilitation Consultation
If you are experiencing extensive dental problems or want complete smile restoration, book a consultation at Dev Multispeciality Dental Care. Our specialists will design a comprehensive treatment plan tailored to your needs.